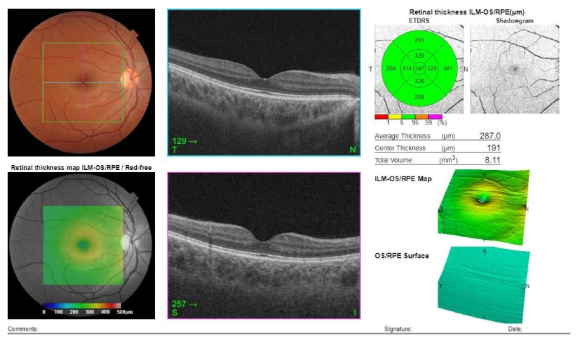
Chụp cắt lớp võng mạc mắt là phương pháp chẩn đoán hiện đại, giúp bác sĩ nhìn sâu vào cấu trúc mắt và phát hiện sớm các biểu hiện của bệnh lý tại mắt.
Võng mạc trong mắt con người là một bộ phận quan trọng giúp cảm nhận được ánh sáng và màu sắc. Vì thế, nếu võng mạc tổn thương sẽ ảnh hưởng rất lớn đến thị giác của người bệnh. Chụp OCT là một phương pháp chẩn đoán không xâm lấn, không gây đau đớn nhờ sử dụng nguyên lý ánh sáng. Nhờ đó có thể thực hiện nhiều lần trên bệnh nhân.

1. Chụp OCT mắt để làm gì?
Chụp OCT mắt là phương tiện rất quan trọng để bác sĩ chẩn đoán sớm, chính xác và theo dõi diễn biến võng mạc trong suốt quá trình điều trị. Chụp OCT có độ phân giải cao sẽ giúp bác sĩ nhãn khoa quan sát được cấu trúc của mắt trong không gian ba chiều. Điều này cho phép bác sĩ đánh giá được các thay đổi nhỏ trong các lớp cấu trúc võng mạc và gai thị. Thông thường, bác sĩ sẽ chỉ định những trường hợp sau cần chụp OCT:
- Người trên 40 tuổi để phát hiện sớm bệnh Glôcôm;
- Bệnh nhân Glôcôm đã và đang điều trị để đánh giá tiến triển của bệnh;
- Bệnh nhân tiểu đường;
- Bệnh nhân có bệnh lý tim mạch, tăng huyết áp và bệnh lý giảm thị lực chưa biết nguyên nhân…
Tuy nhiên, một số trường hợp sẽ không được chỉ định chụp như: Đồng tử co dãn dưới 3mm; sẹo giác mạc trung tâm; thủy dịch vẩn đục, đục thủy tinh thể, đục dịch kính,…
2. Chụp OCT phát hiện các bệnh gì?
Chụp OCT mắt giúp bác sĩ nhãn khoa trong trường hợp chẩn đoán các bệnh liên quan đến võng mạc hoàng điểm:
- Bệnh thái hóa hoàng điểm tuổi già, tân mạch võng mạc, tân mạch dưới võng mạc, màng trước võng mạc co kéo dịch kính võng mạc.
- Phù võng mạc trong các bệnh khác nhau như tắc tĩnh mạch trung tâm võng mạc, bệnh võng mạc đái tháo đường.
- Phù hoàng điểm dạng nang: cho phép đánh giá mức độ phù hợp hoàng điểm thông qua chiều dày của vùng hoàng điểm phù.
- Bệnh lỗ hoàng điểm: xác định được lỗ hoàng điểm và đo được kích thước đồng thời thấy được co kéo dịch võng mạc gây ra lỗ hoàng điểm và chiều dày võng mạc xung quanh.
- Bệnh hắc võng mạc trung tâm thanh dịch: chụp OCT giúp bác sĩ phát hiện được dịch tích tụ giữa lớp biểu mô sắc tố võng mạc và lớp thần kinh cảm thụ, đo kích thước của khối dịch.
- Chẩn đoán theo dõi đánh giá bệnh lý Glôcôm, đánh giá mức độ tổn hại gai thị của bệnh lý Glôcôm.

Với khả năng cung cấp hình ảnh chi tiết đến từng lớp cấu trúc võng mạc, chụp OCT võng mạc được xem là một trong những phương tiện chẩn đoán quan trọng hàng đầu trong nhãn khoa hiện đại. Phương pháp này không chỉ giúp bác sĩ phát hiện sớm các tổn thương võng mạc và gai thị ngay cả khi chưa có triệu chứng lâm sàng rõ ràng, mà còn đóng vai trò then chốt trong việc theo dõi tiến triển bệnh và đánh giá hiệu quả điều trị theo thời gian.
Việc chụp OCT định kỳ, đặc biệt ở các nhóm nguy cơ cao như người trên 40 tuổi, bệnh nhân glôcôm, đái tháo đường hay tăng huyết áp, sẽ góp phần bảo vệ thị lực một cách chủ động, hạn chế tối đa nguy cơ suy giảm thị lực không hồi phục. Khi được chỉ định và thực hiện đúng thời điểm, OCT không chỉ là công cụ chẩn đoán, mà còn là “chìa khóa” giúp bác sĩ xây dựng phác đồ điều trị chính xác, cá thể hóa cho từng bệnh nhân, hướng tới mục tiêu giữ gìn đôi mắt sáng khỏe lâu dài.
Tại Mắt Việt - Nga, để đạt kết quả chẩn đoán chính xác cần sự kết hợp giữa tay nghề bác sĩ và những siêu máy chụp chiếu hiện đại. Trong đó, OCT 6000 và CASIA2 đều là những thiết bị chụp cắt lớp quang học hiện đại, giúp bác sĩ phân tích cấu trúc mắt chi tiết và chính xác. Để đặt lịch thăm khám nhãn khoa chuyên sâu tại Bệnh viện Mắt Quốc tế Việt – Nga Hà Nội, liên hệ hotline 0949.8888.03 để được tư vấn.